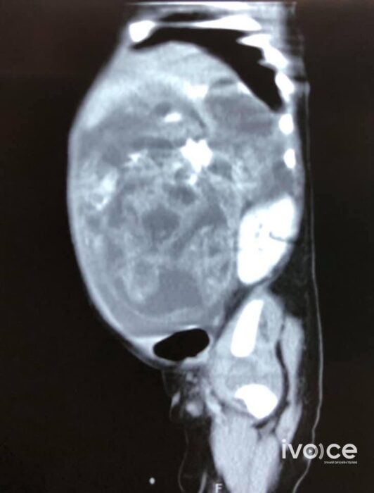
ЭХЭМҮТ-ийн Ерөнхий мэс заслын тасагт хоёр сартай хүүхдэд үр хөврөлийн гаралтай хэвлийн хавдар авах мэс засал амжилттай хийжээ. Хүүхэд 4 кг жинтэй бөгөөд хэвлийгээс нь 1064 гр хавдар авсан байна.
Хүүхдийн биеийн байдал тогтвортой, эрчимт эмчилгээний тасагт эмчлүүлж байгаа аж. Хэвлийгээс том хэмжээний хавдар авсан учраас хавдар авсан биеийн хэсэгт онгорхой зай үүссэн, цус багадалт үүсэх зэрэг хүндрэл гарах магадлалтай учир эрчимт эмчилгээний тасагт хянаж байгаа талаар мэс заслын их эмч хэлжээ.
Хүүхдийг эхийн хэвлийд ураг байхад хавдрыг оношилж, төрсөн даруйд хагалгаа хийх ёстой ч тухайн хүүхэд Хэнтий аймгаас цаг хугацаа алдаж ирснээс хэвлий томорч, суда өргөссөн, шээж бааж чадахгүй хүнд байдалтай иржээ.
Эхний шинжилгээгээр хавдар нь хоргүй гэж гарсан ч баталгаажуулахын тулд дахин эдийн шинжилгээнд өгөөд байнгаа аж. Хэрэв хоргүй бол цаашдаа эрсдэл багатай гэдгийг мэс заслын багийнхан хэлж байна.


