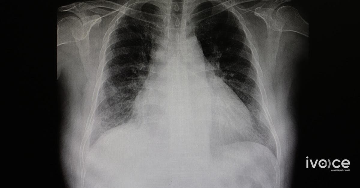
Хоёр жилийн турш өдөр бүр 2 энергийн ундаа уусан залуу зүрхний шигдээсээр нас барахад ойрхон байна
ad

Сэтгэгдэл бичих

Мэдээ байхгүй байна.

Бусад мэдээ